
Timely Intervention Saves Patient from Fish Bone Impaction Complications
The Bahrain Gastroenterology and Hepatology Center at the Bahrain Specialist Hospital recently saw a case that emphasized a critical lesson: if you accidentally swallow a foreign object, particularly something sharp like a fish bone, seek prompt medical attention.
Case Overview A 45-year-old woman arrived at our Emergency Department experiencing severe throat pain shortly after accidentally swallowing a fish bone during dinner. She reported intense difficulty swallowing, even her own saliva, and pain radiating to her neck. On examination, her pulse was elevated at 110 beats per minute, and her neck was extremely tender to the touch.
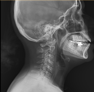
A rapid X-ray confirmed the presence of a fish bone lodged in the upper esophagus—a potentially dangerous situation if not addressed quickly.
Swift Diagnosis and Safe Removal:
The patient was immediately evaluated by our Gastroenterology team. An urgent upper endoscopy (EGD) was performed, which revealed the fish bone firmly impacted in the upper esophagus. Using biopsy forceps, the bone was carefully extracted. A follow-up inspection showed an area of erosion where the bone had been embedded, but thankfully, no further complications were noted.
She was monitored, reassured, and discharged with advice on mindful eating practices to help prevent future incidents.
This case serves as a vital reminder: if you suspect you've swallowed a foreign object, particularly a sharp one, seek immediate medical attention. Early intervention can prevent serious complications and ensure a safe recovery.

Speak with our Contact Center for assistance


